Livestock Research for Rural Development 29 (2) 2017 Guide for preparation of papers LRRD Newsletter

Citation of this paper

Hepatoprotective and stress - reducing effects of dietary Moringa oleifera extract against Aeromonas hydrophila infection and transportation-induced stress in African catfish (Clarias gariepinus) (Burchell, 1822) fingerlings

Oluyemi Gbadamosi, Emmanuel Fasakin and Thomas Adebayo

Department of Fisheries and Aquaculture Technology, Federal University of Technology, Akure, Ondo State,Nigeria.
ejayemi@gmail.com

Abstract

The main aim of the present study was to assess the hepatoprotective and stress-reducing effect of Moringa oleifera extract against Aeromonas hydrophila infection and transportation-induced stress in African catfish, Clarias gariepinus fingerlings. Fish were fed diets representing different supplementation levels of M. oleifera leaf extract. The graded levels of M. oleifera leaf extract were 0.00g (control), 0.05g, 0.10g, 0.15g, 0.20g, 0.25g per 100g in each diet. After six weeks of the feeding trial, fish previously fed each experimental diet were exposed to pathogenic strain of A. hydrophila at a concentration of 9.3 × 105 CFU /mL. After bath exposure, fish from each dietary treatment were placed into the aquaria culture system. They were fed their respective diets at 5% body weight twice daily, and mortality was monitored for the remaining 4 weeks of the feeding trial. After the feeding trial, fish previously fed each experimental diet were kept in plastic tanks for a 2-hour journey. Blood and liver samples were collected for hepatocellular assessments (Aspartate transaminase (AST), Alanine transaminase (ALT), Lactate dehydrogenase (LDH) and Malate dehydrogenase (MDH) tests) and histological examination.

Results showed that the increases of the AST, ALT, LDH, MDH and hepato-histological insults induced by stressors were significantly reduced (P < 0.05) by supplementing the fish with M. oleifera leaf extract in the diets. Based on the result of this study, a dose of 0.10g/100g dietary Moringa leaf supplementation was sufficient as hepatoprotective and stress reducing agent in C. gariepinus fingerlings.

Keywords: fish nutrition, leaf extract, stress-reducing, hepato-histology, hepatocellular assessments, supplementation


Introduction

Stress and stress-related diseases are currently a much discussed topic in animal including fish husbandry and research (Guo 2016). Stress management is therefore becoming subjects of growing interest for an increasing number of aquaculture fish species (Conte 2004). In the aquatic environment, fish are unavoidably exposed to wide ranges of stimuli associated with environmental stress and pathological challenges (Xie et al 2008). Stress responses provide the animal with an ability to cope in the short-term during exposure to the encounter and increase its chance of survival under adverse conditions (Rapatsa and Moyo 2014; Liu et al 2015). Environmental variables, particularly nutrition, are ultimately important in affecting fish in time of stress (Barton and Iwama 2005). Most compounds absorbed by the intestine pass through the liver, which enables it to regulate the level of many metabolites in the blood (Good 2004). Liver injury is often instigated by the bioactivation of complex reactions involving chemically reactive metabolites, which have the ability to interact with cellular macromolecules such as proteins, lipids and nucleic acids, leading to protein dysfunction, lipid peroxidation, DNA damage and oxidative stress (Larrey 2000).

Pathogenic organism can cause diseases in fish, for instance bacteria are unavoidable in fish because the fish body is made of pure protein with fatty materials which are good substrates for bacterial growth (Okaeme and Ibiwoye 2001). Again, water in which fish develop is a favourable medium for bacterial growth (Subasinghe 2005). Farmed fish frequently encounter and tolerate poor environmental conditions, which are well below the considered optimal (Adewolu and Adeoti, 2010). Fish undergoes physiological stress response consequent to handling and transportation procedures, such stress reduce the capacity of fish, hindering their ability to perform essential functions (Subashinge 2005; Welker et al 2007). Stressors in aquaculture are unavoidable and cause many harmful effects. Strategies to attenuate them should be considered. The use of plants extracts in aquaculture has increased rapidly for the prevention of diseases and also to avoid the indiscriminate use of antibiotics, which can lead to the development of resistant strains of pathogenic microbes (Chatterjee et al 2006; Kaleeswaran et al 2011). Phytogenic products and extracts are cheaper, non-toxic and biodegradable alternative to antibiotics.

The Moringa oleifera tree is a single genus family of shrubs and trees cultivated across the whole of the tropical belt and used for a variety of purposes (Jahn, 1996; Becker, 2003). Verdcourt (1993) stated that almost every part of the plant is of value for food and it is probably the most popular plant in ECHO's seedbank of underutilized tropical crops. Moringa (drumstick, horse-radish) belongs to the moringaceae family, there are thirteen species of Moringa trees in the family moringaceae and Moringa oleifera is the most widely cultivated species (Ojiako 2014). Different parts of Moringa have shown great antioxidant activity (Anwar et al 2007) as well as immunomodulatory function in animals (Ojiako 2014). It can be recognized by the compound pinnate leaves, and the long narrow angular fruits containing large wind seed. Moringa oleifera contains antioxidants which can inactivate damaging free radicals produced through normal cellular activity and from various stresses (Makanjuola et al 2013; Rapatsa and Moyo 2014). Traditionally, the leaves, fruits, flowers, and immature pods of this tree are edible (Ojiako 2014). The leaves, in particular, have been found to contain phenolics and flavonoids which have various biological activities, including antioxidant, anticarcinogenic, immunomodulatory, antidiabetic and hepatoprotective functions and the regulation of thyroid status in human and animals (Hussain et al 2014).

The African catfish, Clarias gariepinus is the most important fish species cultured in Nigeria; it grows rapidly, it is disease and stress resistant, sturdy and highly productive in polyculture with many other fish species (Hammed et al 2015). This species has shown considerable potential as a fish suitable for use in intensive aquaculture (Adebayo 2016). C. gariepinus production is considered to be the fastest growing segment of the Nigeria aquaculture industry over the past decade (FAO, 2014). More investors are entering catfish C. gariepinus farming in Nigeria as there exists a large unmet demand and market prices of catfish C. gariepinus which are more than those of other species (Fagbenro et al 1992). The African catfish (C. gariepinus) is the leading aquaculture species in Nigeria (FAO 2014). The aim of the present study was to evaluate the hepatoprective and stress-reducing effects of dietary Moringa oleifera extract against A. hydrophila infections and transportation-induced stress in African catfish, Clarias gariepinus.


Materials and methods

Extraction of Moringa oleifera Leaf

The leaves of M. oleifera were collected from a farm settlement at Ijare, Ondo State, Nigeria. It was identified and authenticated at the Department of Crop, Soil and Pest Management, Federal University of Technology, Akure. The leaves were destalked, washed and dried in the shade. M. oleifera leaves were ground with pestle and mortar, leaves were then extracted according to the modified method of Makanjuola et al (2013) as follows. Five hundred grams of the powdered leaf were soaked in 1.5 liter of warm water (60oC). Each solution was allowed to stand for 24 hours, after which it was sieved with a muslin cloth and filtered using No 1 Whatman filter paper. The filtrate were collected in a beaker and concentrated with the aid of rotary evaporator (Resona, Germany).

Preparation of Experimental Diets

The feed ingredients were purchased at Adebom Feedmill, Ondo road, Akure, Ondo State, Nigeria. Six isonitrogenous and isocaloric diets were formulated to meet the requirements of 40% crude protein (Table 1) for C. gariepinus fingerlings (National Research Council 2011) using feed formulation software (WinFeed soft 2.0 USA). All dietary ingredients were weighed with a weighing top balance (Metler Toledo PB8001 London). The ingredients were then ground to a small particle size (approximately 20 µg). Ingredients including Moringa oleifera extract, vitamin and mineral premix were thoroughly mixed in a Hobbart A-200T mixing machine (Hobbart Ltd London England) to obtain a homogenous mass. Alginate, Laminaria digitata (IGV GmbH, Germany ®) was added as binder. The resultant mash was pressed without steam through a mincer using 2mm diameter die attached to the Hobbart pelleting machine. Diets were immediately air - dried, after drying the diets were broken up, sieved and stored in air-tight transparent plastic containers, labeled and stored until feeding. Standard and official methods (AOAC 2010) were used to perform the proximate analyses of feed of fish in the study.

Proximate analyses of Moringa leaf and experimental feed

Standard and official methods (AOAC 2010) were used to perform the proximate analyses of Moringa leaf and feed of fish in the study. Formulated feed were blended to a homogeneous mince using a meat grinder (Binatone UK) with a 4 mm diameter orifice plate. A sub-sample of Moringa leaf extract and feed were taken and stored for estimation of dry matter which was determined after drying in the oven (Gallenkamp UK) at 105°C for 24 h. The remaining homogenates were dried in the oven and used for all subsequent analyses. Ash content was calculated by weight loss after incineration in a muffle furnace (Carbolite UK) for 12 h at 550ºC. A Parr bomb calorimeter was used to calculate gross energy content, this method measures energy content by combustion under an atmosphere of compressed oxygen with benzoic acid as a standard. The Kjeldahl technique was used to measure crude protein. In this technique, the nitrogen (N) content was determined and multiplied by a conversion factor of 6.25.

Table 1. Composition of the experimental diet (g/100g) containing dietary Moringa Oleifera for African catfish, Clarias gariepinus fingerlings

Ingredients

MLSC0

MLSC5

MLSC10

MLSC15

MLSC20

MLSC25

Fish meal (68 % CP)

23.5

23.5

23.5

23.5

23.5

23.5

GNC (48 % CP)

29.0

29.0

29.0

29.0

29.0

29.0

Soybean meal (42 % CP)

20.5

20.5

20.5

20.5

20.5

20.5

Yellow maize

10.5

10.5

10.5

10.5

10.5

10.5

Vegetable oil

7.00

7.00

7.00

7.00

7.00

7.00

Rice Bran

5.50

5.45

5.40

5.35

5.30

5.25

Alginate

2.00

2.00

2.00

2.00

2.00

2.00

Vitamin Mineral mix

2.00

2.00

2.00

2.00

2.00

2.00

Moringa leaf extract

0.00

0.05

0.10

0.15

0.20

0.25

Proximate composition of experimental diets (% dry matter basis)

Crude protein

39.9

40.0

40.1

40.2

40.2

40.2

Lipid

10.1

10.2

10.1

10.4

10.4

105

Crude fibre

5.63

5.72

6.01

6.31

6.94

6.69

Ash

8.93

8.33

8.54

9.06

9.13

9.74

Dry matter

92.4

92.2

91.1

90.1

90.2

90.1

Nitrogen-free extract (NFE)

27.8

27.9

26.3

24.2

23.5

22.9

Gross Energy (kJ/g)

15.8

15.8

15.9

15.9

15.9

16.0

Composition of vitamin-mineral mix (Aquamix) (quantity/kg), Vitamin A, 55,00,000 IU; Vitamin D3, 11,00,000 IU; Vitamin B2, 2,000 mg; Vitamin E, 750 mg; Vitamin K, 1,000 mg; Vitamin B6, 1,000 mg; Vitamin B12, 6 mcg; Calcium; Pantothenate, 2,500 mg; Nicotinamide, 10 g; Choline Chloride, 150 g; Mn, 27,000 mg; I, 1,000 mg; Fe, 7,500 mg; Zn, 5,000 mg; Cu, 2,000 mg; Co, 450 L- lysine, 10 g; Selenium, 50 ppm.

Experimental fish and feeding trial

C. gariepinus fingerlings were obtained from the Hatchery unit of the Department of Fisheries and Aquaculture Hatchery, Federal University of Technology Akure, prior to the feeding trial. Fish were graded by size and groups of 15 fish of 10.00 ± 0.05 g per replicate for C. gariepinus were stocked into glass tanks of 60cm ×45cm×45cm dimension. A commercial diet, Nutreco ® (35% crude protein) was fed to all fish during a 2- week conditioning period. Each experimental diet was fed to six replicate groups of fish for 70days. All groups were fed their respective diets at the same fixed rate (initially 5% of body weight per day). This rate was adjusted each week. Fish were fed by 0900-1000 and 1700-1800h GMT, for 7 days each week.

Physico-chemical water parameters : Dissolved oxygen was monitored using HANNA 98103SE (HANNA instruments, Rhode Island). Temperature and pH were monitored using YSI-IODO 700 Digital probe (IFI Olsztyn, Poland).

Aeromonas hydrophilachallenge and transportation –induced stress

After six weeks of the feeding trial, fish previously fed each experimental diet were exposed to pathogenic strain of Aeromonas hydrophila (MPSTR 2143, mildly pathogenic strain, Animal care Laboratory, Ogere). This isolate was grown in brain-heart infusion broth (EM Science, Darmstadt, Germany) in a shaking bath at 27oC overnight the Department of Microbiology, FUTA. The concentration of bacterial suspension was determined by the serial plate count method and diluted to 9.3 × 105 CFU (colony forming unit)/mL in fresh well water as described by Li (2005). Fish from each dietary treatment was immersed in the bacterial suspension for 5 hours. After bath exposure, fish from each dietary treatment was placed into the aquaria culture system. Fish were fed their respective diets at 5% body weight twice daily for the remaining 4 weeks of the feeding trial. At the end of the feeding trial, 15 fish previously fed each experimental diet from each treatment were kept in plastic tanks for a 2-hour journey. The liver samples were collected immediately after transportation for 2 hours from fish for further analyses.

Assessment of hepatocellular damage

Hepatocellular stress activities were determined by Aspartate transaminase (AST), Alanine transaminase (ALT), Lactate dehydrogenase (LDH) and Malate dehydrogenase (MDH) tests according to the procedure of Hardy and Sullivan (2003). The livers of 3 fish from each treatment were removed by dissection and weighed. The tissue was homogenized with chilled 0.25 M sucrose solution in a glass tube using a mechanical tissue homogenizer. The tube was continuously kept in ice to avoid heating. The homogenate was then centrifuged (5000x g for 10 minutes at 400C) in a cooling centrifuge machine and stored at -20oC till use.

Aspartate transaminase (AST) and Alanine transaminase (ALT) were measured by the estimation of oxaloacetate and pyruvate released in a spectrophotometer at 540nm and the results were read on the calibrated graph respectively.

Lactate dehydrogenase (LDH) and Malate dehydrogenase (MDH) activities were measured by the change in optical density (OD) at 340 nm for 5min. The supernatant was used directly as an LDH and MDH source in the kinetic study. LDH and MDH activities were determined following the oxidation of NADH at 340 nm in a circulating thermobath at 25oC. The reaction mixture was contained in a total volume of 1 ml, 50 mM Imidazol, 1 mM KCN buffer pH 7.4 at 25oC, 0.13 mM of NADH and different concentrations of pyruvate for LDH saturation plots. Substrate saturation plots for oxalacetate were determined for MDH by the oxidation of NADH at 340 nm.

Histopathological examination

The liver were collected and fixed in Davidson’s freshwater fixative by 24h then rinsed and put into 70% ethanol until dehydrated in graduated ethanol 50–100%, cleared in xylene, and embedded in paraffin. Sections of 5 lm thickness were prepared, stained with haematoxylin and eosin (H&E) dye. Photomicrographs were taken with the aid of Olympus digital camera (Olympus, UK) at 50 µm. Tissue sections were compared after examination under the microscope, for significant differences in the morphology of the tissues.

Statistical analysis

This experiment was designed with a completely randomised design (CRD) to test for significant differences in the mean of treatments. The data were expressed as mean ± standard deviation (SD).The differences between mean of treatments were considered significant at P < 0.05 by one way analysis of variance (ANOVA) using Statistica® software. Follow–up procedures were performed where significant differences occurred in the means using Tukey test.


Results

Effects of M. oleifera leaf extract on hepatocellular damage indicators

Significantly higher alanine transferase, aspartate transferase, lactate dehydrogenase and malate dehydrogenase levels (P< 0.05) were recorded in fish fed the control diet compared with other dietary treatments. In the liver tissue the increases of the Aspartate transaminase (AST), Alanine transaminase (ALT), Lactate dehydrogenase (LDH) and Malate dehydrogenase (MDH) induced by A. hydrophila infections and transportation-induced stress were significantly inhibited (P < 0.05) by supplementing the fish with 0.10g, 0.15g, 0.20g, 0.25g per 100g M. oleifera leaf extract in the diets (Table 2).

Table 2. Effects of M. oleifera leaf extract on hepatocellular damage indicators in experimental fish

MLSC0

MLSC5

MLSC10

MLSC15

MLSC20

MLSC25

p

AST (µM)

60.3 ± 2.05d

47.5 ± 1.70c

30.4 ± 1.09ab

28.7 ± 1.17a

30.0± 1.20a

34.0 ± 0.82b

0.0001

ALT (µM)

51.5 ± 1.58e

27.2 ±1.70d

17.8 ±1.24ab

16.6 ± 1.25a

19.3 ± 1.69c

19.2 ± 1.03bc

0.0001

LDH (µM)

1.33 ± 0.06e

1.12 ± 0.05c

0.85 ± 0.02a

0.94 ± 0.05b

1.28 ± 0.01d

1.35 ± 0.13e

0.0001

MDH (nM)

6.13 ± 0.05d

3.12 ± 0.16c

1.84 ± 0.03a

1.73 ± 0.04a

2.12 ± 0.15b

2.26 ± 0.12b

0.0001

a,b,c,d,e,f values in each row with different superscripts are significantly different (p < 0.05) using ANOVA Post Hoc (Tukey test) (mean values ± SD, mean of fish from 3 replicate tanks). ALT, Alanine transferase; AST, Aspartate transferase; LDH, Lactate dehydrogenase and MDH, Malate dehydrogenase.

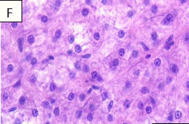
Histology of the liver of Clarias gariepinus fed the experimental diets

Histology of the liver of C. gariepinus fed the experimental diets is shown in Figure 1A-E. In fish fed the MLSC0 diet, disorganised sinusoids (arrow), less nuclei and highly vacuolated cytoplasm (circles) was observed (Figure 1A). Liver of fish fed the MLSC5 diet showed erosion of the hepatocytes. However, fish fed MLSC10 to MLSC25 diets showed more nucleated hepatocytes (arrow) (Figure 1C-F).

(A) Liver of fish fed the MLSC0 diet showing disorganised sinusoids
(arrow), less nuclei and highly vacuolated cytoplasm (circles)
B) Liver of fish fed the MLSC5 diet showing erosion of
the hepatocytes and vacuolated cytoplasm (arrow)




(C) Liver of fish fed MLSC10 diet showing
more nucleated hepatocytes (arrow)
(D) Liver with hepatocytes in fish fed MLSC15
diet showing nucleated hepatocytes




 (E) Liver of fish fed MLSC20 diet
showing nucleated hepatocytes
(F) Liver of fish fed MLSC25 diet showing
nucleated hepatocytes (scale bar = 50 µm)

Figure 1. Histology of the liver of C. gariepinus fed the experimental diets


Discussion

Significantly elevated activities of cellular enzymes AST, ALT, LDH and MDH observed in fish in the control group exposed to Aeromonas hydrophila and transportation-induced stress indicated that stressors caused liver injury in the present study. Stressors like transportation, stocking density and pathogenic stress have been reported to cause hepatocellular damage in Nile tilapia by increasing the activities of cellular enzymes AST and ALT (Tekle and Sahu 2015). Soosean et al (2010) also reported that increase in the activity of cellular enzymes (AST and ALT) is an indicator of cellular damage in stressed fish. In the present study, amino-transferase activities were found highest in the control group compared to the other dietary groups. The higher activity of AST and ALT indicates the mobilization of aspartate and alanine via gluconeogenesis for glucose production to cope with stress (Barton and Iwama 2005). Elevated level of transaminase activity during stress would lead to increase feeding of ketoacids into TCA cycle, thereby affecting oxidative metabolism (Tekle and Sahu 2015). Moringa leaf supplementation significantly reduced the activities of AST and ALT suggesting that Moringa leaf protected the membrane integrity of the liver cells against stressors. Cao et al (2016) stated that an important mechanism of the hepatoprotective effects may be related to an antioxidant capacity to scavenge reactive oxygen species. Hence, as there was less cellular activity in the Moringa supplemented groups, it can be inferred that addition of Moringa plant extracts reduced stress and improve growth and health of fish in the present study.

Fish fed the control diet in this study showed higher LDH activity than fish fed the Moringa supplemented diets. Generally, LDH and MDH activities increases in stress condition (Barton and Iwama 2005). Significantly lower LDH and MDH activities in the Moringa treated groups suggested that there was stress mitigating effect of Moringa on the liver of fish in the current study. This is in agreement with the findings of Tekel and Sahu (2015), which reported that the MDH activity in O. niloticus fingerlings subjected to pathogenic stress was higher in the control than fish treated with M. oleifera flower. Therefore, the lower LDH and MDH activity in C. gariepinus fed dietary Moringa leaf supplemented diets showed that Moringa has the ability to ameliorate the effects of stressors used in the present study. Furthermore, various histopathological changes were noticed in the liver of C. gariepinus fed the control and MLSC5 diets which were not observed in fish fed the other Moringa supplemented diets (Figure 1). These changes were as follows: the cord-like parenchymal structures of the liver were lost, resulting in disorganised sinusoids and highly vacuolated cytoplasm with loss of nuclei. Highly vacuolated cytoplasm, deformed sinusoids and vacoulation in the hepatocytes were observed as signs of physiological dysfunction in unhealthy Cyprinus carpio (Venkatesen et al 2012). The hepatocytes of C. gariepinus showed apparently normal structures in fish fed MLSC10 and MLSC15 diets. Fish fed MLSC10, MLSC15 and MLSC20C diets did not show any apparent histopathological changes in the liver, as the histology of the liver of fish in these dietary treatments showed normal hepatocytes, numerous nuclei and cytoplasmic organelles suggesting that the inclusion of Moringa in fish fed MLSC10, MLSC15 and MLSC20 diets had positive effects on the liver of tilapia in this study.

This results of the present study is in agreement with many studies that reported the role of plant extracts in stimulating the immune system by modulating the activity of metabolic and antioxidative stress enzymes. For example, Kaleeswaran et al (2011) reported positive effects of Cynodon dactylon (L.) on the innate immunity and disease resistance of Indian major carp, Catla catla. Tekle and Sahu (2015) reported the ameliorative effects of Moringa flower on O. niloticus subjected to Aeromonas hydrophila induced stress. M. oleifera plant has been widely reported to contain constituents such as nitrile, glycosides and quercetin (Ojiako 2014) which are believed to be responsible for enhancing hepatoprotection, immunity against oxidative stress and microbial diseases. Therefore the presence of potent antioxidants in Moringa supplemented diets was helpful in reducing the negative effects of stressors in C. gariepinus. Hammed et al (2015) also reported that the presence of potent antioxidants in Moringa leaf can be correlated with increase in antibody production which helps in the survival and recovery of fish during stressful periods.


Conclusion


References

Adebayo OT 2006 Reproductive performance of African clariid catfish, Clarias gariepinus broodstocks on varying maternal stress. Journal of Fisheries International, 1: 17-20.

Adewolu M A and Adoti A J 2010 Effect of mixed feeding schedules with varying dietary crude protein levels on the growth and feed utilization of Clarias gariepinus (Burchell, 1822) fingerlings. Journal of Fisheries and Aquatic Sciences, 5: 304-310.

Anwar F Latif, S Ashraf M and Gilani A H 2007 Moringa oleifera: a food plant with multiple medicinal uses. Phytotherapy Research 21(1): 17-25.

Awoniyi T A M, Bello-Olusoji, O A and Adeparusi E O 2007 Microbial occurrence in pond raised Clarias gariepinus and Oreochromis niloticus in tropical humid southwest Nigeria. Advances in Food Sciences 29: 2-4.

Barton B A and Iwama G K 2005 Simple field methods for monitoring stress and general condition of fish. Aquaculture Research 26: 273-282.

Becker K 2003 Moringa oleifera ; an underutilized tree with amazing versatility. Cambridge University Press, Cambridge. pp 28: 45-56.

Chatterjee N, Pal A K, Das T, Manush S M, Sarma K Venkateshwarlu and Mukherjee S C 2006 Secondary stress response in Indian major carps Labeo rohita (Ham), Catla catla (Ham) and Cirrhinus mrigala (Ham) fry to increasing packing densities. Aquaculture research. 37, 472–476.

Cao L Du J Ding W, Rui J, Liu Y, Xu P,  Teraoka H and Yin G 2016  Hepaprotective and antioxidant effects of dietary Angelica sinensis extract against carbon tetrachloride-induced hepatic injury in Jian Carp (Cyprinius carpio var. Jian). Aquaculture Research 47: 1852-1863.

Carlos F, Eduardo S A and Almudena F 2009 Superoxide dismutase and catalase: tissue activities and relation with age in the long-lived species Margaritifera margaritifera. Biology Resources 42: 57-68

Conte F S 2004 Stress and the welfare of cultured fish. Applied Animal Behaviour Science, 86(3), 205-223.

El-Sayed A M 1998 Total replacement of fish meal with animal protein sources in Nile tilapia, Oreochromis niloticus (L.), feeds. Aquaculture Research 29, 275-280.

Fagbenro O A, Balogun A M and Anyanwu C N 1992 Optimal dietary protein level for Heterobranchus bidorsalis fingerlings fed compounded diets. Isreali Journal of Aquaculture Bamidach 44: 87–92.

FAO 2014 Food and Agricultural Organisation of the United Nations: The state of world Fisheries and Aquaculture 2014, Rome, Italy.

Good J E 2004 Vegetable Oils: Effects on Fish Health. A thesis presented for the degree of Doctor of Philosophy to the University of Stirling Institute of Aquaculture University of Stirling,Stirling, Scotland, UK.

Giri S S, Sen S S, Chi C Kim H J, Yun S, Park S C and Sukumaran V 2015 Effect of guava leaves on the growth performance and cytokine gene expression of Labeo rohita and its susceptibility to Aeromonas hydrophila infection. Fish and Shellfish Immunology, 46(2): 217-224.

Guo Q, Liu F ,Shi H, Yu Y, Wang Y and Shen W Lv F 2016 Effects of astaxanthin and emodin on the growth, stress resistance and disease resistance of yellow catfish (Pelteobagrus fulvidraco). Fish and Shellfish Immunology, 51 125-135.

Hammed A M ,Amosu A O, Awe A.F and Gbadamosi F F 2015 Effects of Moringa oleifera leaf extracts on bacteria (Aeromonas hydrophila) infected adults African mud cat fish. International Journal of Current Research, 7, (10), 22117-22122. Available online at http://www.journalcra.com.

Hardy W and Sullivan C V 2003 Pathogenesis of infectious diseases of fish. Annual Review Microbiological 40: 479-502.

Hussain S Malik and Mahmood S 2014 Review: an exposition of medicinal preponderance of Moringa oleifera (Lank.), Pakistan Journal of Pharmaceutical Sciences: 27 (2) pp. 397–403.

Jahn S A A 1996 Using Moringa seeds as coagulants in developing countries. Journal on Management Operations 13: 43-50.

Kaleeswaran B, Ilavenilb S and Ravikumara 2011 Dietary supplementation with Cynodon dactylon (L.) enhances innate immunity and disease resistance of Indian major carp, Catla catla (Ham.). Fish and Shellfish Immunology 31: 953-962.

Larrey D 2000 Drug-induced liver diseases. Journal of Herpetology 32, 77–88.

Li L Kobayashi M ,Kaneko H, Nakajima-Takagi Y, Nakayama Y and Yamamoto M 2008 Molecular evolution of Keap1:Two Keap1 molecules with distinctive intervening region structures are conserved among fish. Journal of Biological Chemistry .283(6), 3248–3255.

Lim C and Webster C D 2006 Tilapia: Biology, Culture, and Nutrition. Haworth Press. USA. 253 pp.

Lim C, Yildirim-Aksoy M, Welker T, Klesius P H and Li M H 2010 Growth performance, immune response, and resistance to Streptococcus iniae of Nile tilapia, Oreochromis niloticus, fed diets containing various levels of vitamins C and E. Journal of the World Aquaculture Society 41, 35–48.

Liu Z, Xie Y,  Song L, Weng Z and Liu S 2015 Hsp90, Hsp60 and sHsp families of heat shock protein genes in channel catfish and their expression after bacterial infections. Fish and Shellfish Immunology. 44:642-651.

Madalla N 2008 Novel Feed Ingredients for Nile Tilapia, (Oreochromis niloticus L.) A thesis submitted for the degree of Doctor of Philosophy. Institute of Aquaculture, University of Stirling, Scotland. United Kingdom. 315pp.

Makanjuola O O, Dada E O and Ekundayo F O 2013 Antibacterial actitvities of Moringa oleifera on coliforms isolated from some surface waters in Akure, Nigeria. FUTA Journal of Research in Sciences. 1: 63-71.

NRC 2011 National Research Council. Nutrient requirement of fish. National Academy Press. Washington D.C. 114pp.

Ojiako E N 2014 Phytochemical analysis and antimicrobial screening of Moringa Oleifera leaves extract. The International Journal of Engineering and Science. 3(3): 32-43.

Oliva-Teles A 2012 Nutrition and health of aquaculture fish. Journal of Fish Diseases, 35, 83-108.

Okaeme A N 2006 Fish diseases prevention and control. Paper presented at the VCN Professional Continuing Education Seminar, Akure, March, 117 pp.

Okaeme A N and Ibiwoye T I I 2001 Hints on disease problems, prevention and control in the culture of tilapias and Clariid species in fresh water system in Nigeria. Technical Report series 18 (ISSN 00331 – 6734), 1-9.

Rapatsa M M and Moyo N A G 2014 Effect of Moringa oleifera on the histology, haematology and growth of Oreochromis mossambicus in aquadams® fertilised with chicken manure in South Africa. African Journal of Aquatic Science 39: 295-303.

Soosean C ,Marimuthu K, Sudhakaran S and Xavier R 2010 Effect of mangosteen (Garcinia mangostana L.) extracts as a feed additive on growth and haematological parameters of African catfish (Clarias gariepinus) fingerlings. European Rev. Med. Pharmacological Science. 14:605-611.

Subashinge R T 2005 Physiological responses and depression of humoral components of the immune system in gilthead sea bream (Sparus aurata) following daily acute stress. Canadian Journal of Fisheries and Aquatic Science, 52: 2339- 2346.

Tekle E W and Sahu N P 2015 Growth and immunodulatory response of Nile tilapia, Oreochromis niloticus fingerlings to ethanolic extract of Moringa oleifera flower. IJSRP 5(7): 285-296.

Venkatesan S, Pugazhendy K, Meenambal M, Sangeetha D, Vasantharaja C ,Jayachandren K and Prabakaran S 2012 Protective role of Spirulina on the variation of haematological parameter induced by herbicide atrazine in the fresh water fish Cyprinus carpio (Linn). International Journal of Pharmaceutical & Biological Archives; 3(1):249-254.

Verdcourt B 1993 A synopsis of the Moringaceae. Kew Bull 40 (1): 1 –15.

Wedemeyer G A, Barton B A and McLeay D J 2000 Stress and acclimation. In: Methods for Fish Biology. (Eds: Schreck, C. and Moyle, P). American Fisheries Society, Bethesda, Maryland 7: 451-489.

Welker T L, Lim C , Yildirim Aksoy M, Shelby R and Klesius P H 2007 Immune Response and Resistance to Stress and Edwardsiella ictaluri Challenge in Channel Catfish, Ictalurus punctatus, Fed Diets Containing Commercial Whole‐Cell Yeast or Yeast Subcomponents. Journal of the world Aquaculture Society 38(1), 24-35.

Xie J K, Jun S K and Jian F B 2008  Effects of anthraquinone extract from rhubarb, Rheum officinale Bail on the crowding stress response and growth of common carp, Cyprinus carpio var. Jian. Aquaculture 281: 5-11.


Received 6 December 2016; Accepted 12 December 2016; Published 1 February 2017

Go to top