Livestock Research for Rural Development 27 (9) 2015 Guide for preparation of papers LRRD Newsletter

Citation of this paper

Effect of fermented aquatic macrophytes supplementation on growth performance, feed efficiency and digestibility of Nile Tilapia (Oreochromis niloticus) juveniles fed low fishmeal diets

Y Cruz Velásquez1, C Kijora, S Wuertz2,3 and C Schulz2,4

Animal Breeding in the Tropics and Subtropics, Humboldt Universitaet zu Berlin. Philippstraße 13. D-10115, Berlin, Germany.
yorcelis.cruz@hu-berlin.de
1 Instituto de Investigaciones Tropicales de la Universidad Del Magdalena (Intropic).
Carrera 32 No 22 – 08. A.P.:2-1-21630. Santa Marta, Colombia.
2 GMA - Gesellschaft für Marine Aquakultur mbH, Hafentörn 3, 25761 Büsum, Germany
3 Leibniz-Institute of Freshwater Ecology and Inland Fisheries, Dep Ecophysiology and Aquaculture, Müggelseedamm 310, 12587 Berlin, Germany
4 Institute for Animal Husbandry at the Christian-Albrechts-University of Kiel. Olshausenstraße 40 D-24098 Kiel, Germany

Abstract

An 8-week feeding experiment was conducted to evaluate the growth performance, feed efficiency, digestibility, carcass composition and, liver and intestine histology of juvenile Nile Tilapia (3.18 ± 0.02 g) fed on a control diet and four experimental diets (35% CP). The experiment aimed to assess the utilization of local macrophytes; namely fermented duckweeds at 15% (DW15) and 25% (DW25) as well as fermented water fern at 15% (WF15) and 25% (WF25).

The growth performance comprising of weight gain (WG), specific growth ratio (SGR) and protein efficiency ratio (PER) was assessed in triplicates and no significant differences between diets were observed. Feed conversion ratio (FCR) and ash content of the carcass were similar in all the treatments except for WF25 where significantly higher FCR and ash content were recorded compared to the control diet. However, lipid and protein content of the carcass was comparable between diets. Results showed that the inclusion of fermented duckweeds up to 25% and fermented water fern up to 15% in diets for Nile Tilapia was feasible without any negative effect compared to the control group.

Keywords: duckweed, histology, plant ingredients, water fern


Introduction

In contrast to Asia, where aquaculture industry is primarily dependent on farm-made feeds, Latin America’s industry is mainly dependent on manufactured feeds. Most operations of aquaculture industry in Latin America consist of semi-intensive and intensive production systems involving the subsequent use of commercial aquafeeds based on fish meal (Flores-Nava 2007). During the last years, domestic fish consumption and fish production in the region increased strongly (Flores-Nava 2007), consequently increasing the demand for aquafeeds. Thus, industrially manufactured feed has become more readily available in most Latin American countries, where it is produced by large-scale manufactures. In contrast, small-scale producers in rural areas do not have the capital for these costly commercial feeds and farm-made feeds are only occasionally produced in localized regions where locally grown agricultural by-products are utilized to replace or complement costly commercial diets (Hasan et al 2007). A basic knowledge of the use of alternative ingredients, especially of plant based sources, could therefore significantly contribute to the production of low cost, farm-made feeds for local fish production.

Imbalanced essential amino acid profile, the presence of antinutritional substances, low digestibility and poor palatability are the most common problems encountered when using plant sources as fish feed ingredients (Lovell 1989; Tacon 1994; Francis et al 2001). For a successful inclusion of plant based ingredients into diets, it is necessary to evaluate growth performance and feed conversion, and carefully monitor the potential adverse effects on the fish physiology. Aquatic macrophytes are known to be among the potential candidates for local production of aquafeeds (El-Sayed 2003; Bairagi et al 2002; El-Sayed 1999; Leng et al 1995). Moreover, they are widely used as feed for cultured omni-herbivorous fish in many Asian countries where aquaculture is primarily rural (Hasan and Chakrabarti 2009) and finances do not allow for expensive feed sources. Usually, they are processed either as sun dried material or after ensiling in order to improve their digestibility by fish (El-Sayed 2003; Bairagi et al 2002).

Due to its nutritional requirements, Tilapia can be grown on plant-based diets including algae, aquatic plants and a variety of feeds from diverse origins (Watanabe 2002) and thus it is relatively inexpensive. This makes it particularly beneficial in meeting the needs of small-scale farms in rural Colombia. A number of studies have been carried out on the use of different macrophytes in Tilapia feed (Mandal et al 2010; Abdelhamid et al 2010; Abdel-Tawwab 2008; Abdelhamid et al 2006; El-Sayed 2003; Fasakin et al 1999).

Tilapia is consequently an ideal species for aquaculture and it is in high demand in the majority of the international and domestic markets. In the many countries of Latin America where Tilapia has been introduced, it plays an important role as high quality food source, especially in rural communities. In Colombia’s national aquaculture production, Tilapias occupy the first place (principally red Tilapia), followed by Cachama (Piaractus brachypomus) production (Espinal et al 2005; FAO 2012). Unfortunately, its production in rural regions is limited due to the high costs of fish feeds.

In an effort to minimize the use of expensive ingredients and reduce the production costs of Tilapia in small-scale aquaculture systems, the present study aimed to evaluate the utilization of fermented locally available aquatic macrophytes in a low fish meal content (3% of DM) diet.


Material and methods

Experimental diets

A total of five isonitrogenous (35% crude protein) and isoenergetic (17 kJ/g gross energy) diets were formulated. Soy cake and maizegluten were used as the main plant protein sources for the diets. Due to their comparable nutrient composition wheat bran was replaced by fermented duckweeds (Lemna minor and Spirodela polyrhiza) at 15% (DW15) and 25% (DW25) and by fermented water fern (Azolla filiculoides) at 15% (WF15) and 25% (WF25) inclusion levels. In each diet 3% fishmeal was included to assure palatability of the experimental diets. To maintain the level of protein in the low-fishmeal content diets, wheat bran as well as alphacellulose were removed as fermented duckweed or fern were added.

Aquatic macrophytes were fermented using a commercial silage LAB inoculant based on the bacterial strain Lactobacillus plantarum DSM 8862 and DSM 8866 (BIO-SIL®, Dr. Pieper Technologie-und Produktentwicklung GmbH, Germany). For fermentation, freshly harvested plants were mixed with a part of dried aquatic macrophytes of the same sample until about 350 to 450 g/kg dry matter content was obtained. Molasses at 15% was added and the mixture was vacuum packed into plastic bags according to the method described by Johnson et al (2005). After four weeks plastic bags were opened and samples were dried in an oven at 45 °C for 48 h. Afterwards proximal composition of the fermented plant material was determined. Fermented macrophytes were then used to prepare the experimental diets. All ingredients of the diets were well ground, mixed and finally pelleted to pieces of 4 mm in diameter. Chromic oxide at 0.5% was added as an inert marker.

The proximate composition of the tested diets is shown in Table 1. The most prominent difference between diets was the increased ash and crude fibre content in the DW and WF diets compared to the control diet. Between experimental diets WF showed stronger increase in ash content (by 5% and 17% respectively) than DW at corresponding inclusion levels. In contrast, the fibre content depended only on the inclusion level of aquatic macrophytes and was found to be higher than in the control diet. Lipid content was relatively low but comparable in all diets.

Table 1.  Composition and nutrient content of the diets on a dry matter basis (g/kg).

Ingredients

Control

DW15

DW25

WF15

WF25

Fish meal

30.0

30.0

30.0

30.0

30.0

Soy cake

250

250

250

250

250

Maize gluten

200

200

200

200

200

Casein

5.0

0.0

0.0

0.0

0.0

Rice bran

50.0

50.0

50.0

50.0

50.0

Wheat bran

365

160

0.0

150

0.0

Fermented duckweeds

0.0

150

250

0.0

0.0

Fermented water fern

0.0

0.0

0.0

150

250

Alfa-cellulose

0.0

60.0

120

70.0

120

Carboxymethyl cellulose

25.0

25.0

25.0

25.0

25.0

Fish oil

20.0

20.0

20.0

20.0

20.0

Sunflower oil

20.0

20.0

20.0

20.0

20.0

Vitamin premix1

10.3

10.3

10.3

10.3

10.3

Mineral premix2

10.3

10.3

10.3

10.3

10.3

Ascorbic acid (Stay C-35)3

5.0

5.0

5.0

5.0

5.0

Cr2O3

5.0

5.0

5.0

5.0

5.0

Proximate Composition

 

 

 

 

 

Dry Matter

921

934

939

916

934

Ash

67.2

72.5

76.1

81.9

95.6

Crude Protein

358

354

344

354

345

Ether Extract

56.1

53.3

60.7

51.3

74.7

Crude Fiber

68.2

100

134

95.6

137

NFE4

451

420

386

418

348

Gross Energy (kJ/g)

18.4

17.7

17.6

17.2

17.1

1Rovimix vitamin: ®Lab. Roche S.A. 0.5 (Vit A 8.0*106 UI, Vit D3, 1.8*106 UI, Vit E 66.66g, Vit B1 6.66g, Vit B2 13.33g, Vit B6 6.66g, Calcium pantothenic 33.33g, Biotin 533.3mg, Folic acid 2.66g, Ascorbic acid 400.0g, Nicotinic acid 100.0g, Vit B12 20.0mg, Vit K3 6.66g, csp vehicle 1.0Kg. 2Micro-minerals premix: ®Lab. Roche S.A. 1.0 (Composition per 100g the product: Mg 1.0, Zn 16.0, Fe 4.0, Cu 1.0, I 0.5, Se 0.05, Co 0.01).3Vitamin C, StayC-354Nitrogen-free Extract (NFE) = 100-(Ash+ Protein+ Fibre+ Fat)

Growth trial

The experiment was carried out at the aquaculture facilities of Humboldt University, Berlin. A total of 225 juveniles of Nile Tilapia ( niloticus) with an initial body mass of 3.18 ± 0.02 g (mean ± SD) were randomly distributed into fifteen 200L flow-through glass aquaria at a density of 15 fish per aquarium, providing three replicates for each experimental diet. Water parameters were monitored weekly and were within optimum ranges for normal growth and health of Tilapia juveniles according to Stickney (1979): 25.3 ± 1.07 °C, pH 8.43 ± 0.17, < 0.3 mgl/L NO 2, < 0.01 mgl/L NH4,, 8.79 ±0.57 mgl/L dissolved oxygen respectively.

Fish were fed a commercial diet for two weeks of acclimatisation. Afterwards, the experimental diets were randomly assigned to the aquaria. Fish were handfed to apparent satiation for 56 days, twice a day at 09:00 and 17:00 h. Fish were weighed in bulk every two weeks and additionally, the total length and weight were measured individually at the end of the trial. During the experiment a photoperiod of 12 h light: 12 h darkness was maintained. At the end of the experiment three fish from each aquarium were sampled as bulk samples (n = 3 per treatment) for carcass analysis and stored at –20 °C.

Additionally, six individuals from each dietary group were dissected and samples of the liver and the intestine were weighed and taken for histological analysis.

Apparent nutrient digestibility

During the last three weeks of the experimental period, faecal samples were collected twice from each aquarium between the feeding times at 1 h intervals. Samples were collected using a filtering net, rinsed in distilled water, then transferred to a filter paper, oven dried at 60 °C for 72 h and stored until laboratory analysis. Apparent digestibility coefficients (ADC) of dry matter, ash, protein and lipid were calculated using chromic oxide (Cr2O3) as inert marker following the formula described by Nose (1960):

ADCdiet = 100-100*(%Cr2O3diet/%Cr2O3faeces)*(%Nutfaeces/%Nutdiet)

Where:

ADCdiet = Apparent digestibility coefficient of the nutrients or energy in diets

%Cr2O3diet = % of chromium in diets

%Cr2O3faeces = % of chromium content in faeces

%Nutdiet = % of nutrient or energy in diets

%Nutfaeces = % of nutrient or energy in faeces

Chemical analyses

Proximate analysis of the diets, faeces and carcass was performed following AOAC (2005) procedures. Gross energy (GE) was determined by using an adiabatic bomb calorimeter (Parr 121 EA, USA). Chromic oxide in diets and faeces was determined spectrophotometrically by the method of Furukawa and Tsukahara (1966). All samples were analyzed in duplicate.

Histological analyses

For histological analysis, six fish per dietary group were dissected and the liver as well as the sac-like stomach was sampled. Macroscopically, no distinct regions of the stomach were sampled in order to standardize sampling with regard to controversial reports on distinct regions of the stomach in Nile Tilapia O. niloticus (Caceci et al 1997; Osman and Caceci, 1991; Al-Hussaini and Kholy 1953). Samples were fixed in 10% phosphate-buffered formalin, gradually dehydrated, cleared, embedded in paraffin, cut to 5 µm slices using a microtome (Leica RM 2135) and stained with haematoxylin and eosin (HE). Analysis was carried out with a light microscope (Leica DM 2500) equipped with a digital camera (Leica DFC 420). For the histological analysis any alterations and abnormalities were recorded. During histological analysis, samples of liver and stomach from fish O. niloticus fed standard commercial feed (standard group) were compared to the fish fed control and test diets.

Data calculation and statistical analyses

The criteria used to determinate growth performance, feed utilization and morphological measurements were:

- Specific growth rate (SGR) = [ln Wf (mean final weight) − ln Wi (mean initial weight)/56 days (d)] × 100

- Percent weight gain (WG) = 100(Final weight-Initial weight)/ Initial weight

- Feed conversion ratio (FCR) = total feed intake in dry basis (g) / wet weight gain (g)

- Protein efficiency ratio (PER) = total weight gain (g)/protein intake (g)

- Hepatosomatic Index (HSI) = [Liver mass (g) / body mass (g)] × 100

- Intestinal Somatic Index (ISI) = [Intestine mass (g) / body mass (g)] × 100

Data from each treatment were subjected to one-way analysis of variance (ANOVA) and are presented as mean ± standard deviation (SD) of triplicate groups (n=3). Data were analysed for normal distribution by Kolmogorov–Smirnov and equal variance by Levene Test (passed if p < 0.05) using SPSS 17.0 for Windows. For multiple comparisons, parametric Tukey’s multiple range test or non-parametric Dunnett`s T3 were used. Individuals were sampled from each replicate for histology analysis.


Results

Water quality parameters were optimal for Nile Tilapia and the percentage of survival ranged from 95.3% to 100% (Table 2). The parameters of growth, final weight (Wf), weight gain (WG) and specific growth rate (SGR) ranged from 15.5 to 16.6 g, 377-419% and from 2.8 to 2.9 g/day and were not different. DW15 and WF15 had a tendency to show higher values than control and the 25% supplementation group (Figure 3). In contrast, the feed efficiency parameters were significantly different displaying better values for control group and DW15. This is a result of higher feed consumption in DW25 and WF15 and WF25 (up to 140% in WF25).

Table 2: Mean growth performance, feed efficiency and survival rate of juvenile Nile Tilapia of low fish meal diets (3%) comprising a control and low cost diets with duckweed (DW) or water fern (WF) at 15% or 25% of the crude protein..

 

Control

DW15

DW25

WF15

WF25

SEM

p

Wi (g)

3,17

3,20

3,17

3,17

3,20

0,02

0,95

Wf (g)

15,5

16,6

16,0

16,3

15,3

0,38

0,84

SGR1 (%/day)

2,83

2,90

2,90

2,93

2,80

0,04

0,89

WG2 (%)

389

419

405

415

377

11,2

0,79

FCR3

1.80 a

1.73 a

2.07 ab

2.10 ab

2.57 b

0,10

0,01

PER4

1.60 a

1.63 a

1.43 ab

1.37 ab

1.13 b

0,06

0,02

FC5 (g/fish)

21.9 a

22.9 ab

26.2 ab

27.3 b

30.5 b

1,04

0,03

SR (%) 6

95.3

100

95.7

100

100

1,02

0,35

1Specific growth rate (SGR) = [lnWf (mean final weight) − lnWi (mean initial weight)/56 days] × 100.

2Percent weight gain (WG) = 100(Final weight-Initial weight)/ Initial weight.

3Feed conversion ratio (FCR) = total feed intake in dry basis (g) / wet weight gain (g).

4Protein efficiency ratio (PER) = total weight gain (g)/protein intake (g).

5Feed consumption (FC) during the experimental period (56 days).

6Survival Rate (SR)

Wi: initial weight, Wf  : final weight
Values with a different superscript are different at p<0.05

 

Digestibility analysis (Table 2) revealed that dry matter, ash, lipid and protein digestibility were highest in the control at 88%, 84%, 98%, 96% followed by 15% inclusions. All nutrients showed significantly lower digestibility in the 25% groups compared to control group. In comparing the two aquatic plants, DW groups presented the tendency to have higher ADC values than WF groups at the same inclusion levels.

Figure 1. Mean body (mean ± SE, n=3) weight of Nile Tilapia fed experimental diets for 8 weeks.
No significant differences between experimental groups were detected

Table 3. Apparent digestibility coefficients (ADC, %) of the tested diets for Nile Tilapia (means ± SD) of low fish meal diets (3%) comprising a control and low cost diets with duckweed (DW) or water fern (WF) at 15% or 25% of the crude protein

Diet

Control

DW15

DW25

WF15

WF25

SEM

Probability (P)

ADC-dry matter

88,1 a

79,7 a

57,8 b

79,2 a

50,1 b

5,20

<0,001

ADC-ash

84,5 a

73,7 a

40,3 b

70,3 a

28,0 b

7,29

<0,001

ADC-protein

98,0 a

95,8 a

88,0 bc

93,1 ab

84,5 c

1,57

<0,001

ADC-Lipids

96,5 a

95,2 a

88,6 b

83,9 c

80,6 d

0,93

<0,001

Values with a different superscript are significantly different (p < 0.05).t Tukey Test, d Dunnett`s T3 Test.

The proximate carcass composition and morphological measurements of Nile Tilapia are presented in Table 4. There were no differences in the carcass protein (39.3 - 40.5%) and carcass lipid content (20.4 - 22.1%) between all treatments. The carcass ash content in group WF25 (7.1%) was significantly higher than in the control group (6.6%). No significant differences between the dietary groups were recorded in the ISI ranging from 4.97 (WF15) to 5.51 (WF25). Whereas, low HIS was observed at high macrophytes incorporations, in WF25 and DW25, 1.80 and 1.88, respectively, but a significant difference to the control was not detected.

Table 4. Carcass composition (on a wet weight basis, gkg-1) hepatosomatic (HIS) and intestinal somatic index (ISI) morphological measurements of Nile Tilapia fed on tested diets (mean ± SD).

Diets

Control

DW15

DW25

WF15

WF25

SEM

p

Moisture

73.3

72.2

72.2

72.1

73.6

0.53

0.070

Ash

6.6 a

6.6 a

6.8 ab

6.8 ab

7.1 b

0.14

0.040

Protein

40.0

39.7

39.3

39.4

40.5

1.14

0.832

Lipid

22.1

22.0

21.0

21.5

20.4

0.95

0.395

HSI2 (%)

2.10 ab

2.50 a

1.88 b

2.02 ab

1.80 b

0.19

0.007

ISI3 (%)

5.19

5.14

5.37

4.97

5.51

0.39

0.697

1 Values are means and standard deviation of three replicates. Means in each column with different superscript alphabets have significant differences (p <0.05).
2 Hepatosomatic Index (HSI) = [Liver mass (g) / body mass (g)] × 100.
3Intestinal somatic Index (ISI) = [Intestine mass (g) / body mass (g)] × 100.
Values with a different superscript are different at p < 0.05

No striking differences in fat accumulation between the intestinal coils were observed upon dissection. Histology of the sac-like stomach is illustrated in Figure 1. The digestive tract exhibited the typical four-layered structure comprising a folded mucosa, the submucosa, the muscularis and the serosa, which is typically found in vertebrates. The strongly folded mucosa consisted of a single-layered columnar epithelium with interspersed mucus-secreting goblet cells facing the lumen of the stomach. A muscularis mucosa separating the lamina propria from the submucosa was not observed here, forming a connective tissue core with blood vessels. The thin submucosa extended into the folds, thereby supporting the mucosa. Two prominent layers of striated muscle (inner longitudinal. outer circular) formed the muscularis, which was succeeded by the serosa. Fish fed experimental diets had a similar appearance when compared to the control. Consequently, the diets did not affect the morphology of the stomach.

Figure 2. Histology of the sac-like stomach of Tilapia revealing no differences in fish fed control and experimental diets.
Serosa (Se). muscularis (mus), longitudinal muscle (lm), circular muscle (cm), submucosa (su), mucosa (muc). Scale bars: 150µm. (H&E).

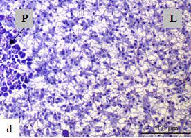
Macroscopically, the hepatopancreas in all fish were light brown (Figure 3) not indicating severe fattening as suggested by pale coloration in other studies, irrespective of diet fed. Histopathology of the liver did not reveal major abnormalities, neither in the control diets nor in the fish fed experimental diets. Hepatocytes were arranged in a typical parenchyma and pancratic tissue was evenly scattered within the liver tissue in close proximity to the blood vessels. Sinoids were irregularly distributed between the polygonal hepatocytes without any abnormalities such as congestion of sinoids. Congruently, yellow ceroid pigments, indicating nutritional stress, were rarely observed. Again, no difference between dietary groups was observed.





Figure 3. Histological sections of the hepatopancreas of Nile Tilapia in control fish group (a). and fish fed experimental diets DW15
(b). WF15 (c) and WF25 (d). Exogenous pancreas (P) embedded in liver tissue (L). Scale bars: 100µm. (
HE-stained).


Discussion

The digestive system of Tilapias is relatively simple, comprising of a short oesophagus, a small sack-like stomach, and a very long coiled intestine, which can reach 7 to 13 times bigger in length compared to the total fish length (Beveridge and Baird 2000). This long digestive system indicates the herbivorous feeding behaviour of Tilapias. Therefore, this study focused on the utilization of plant material as feed sources. El-Sayed (1999) has reviewed this topic and has reported the potential of terrestrial plants (oilseed plants, grain legumes and plant concentrate proteins. and aquatic plants) as dietary protein sources for Tilapias. Although plant material results in a low biological performance compared to standard fish diets, he has recommended its use as fish feed due to its economical efficiency.

In Colombia aquatic plants have a high potential as fish feed since they are not used as food and they are greatly available in rural regions throughout the whole year. The nutritive value and potential of dried aquatic macrophytes as plant protein for fish feed has been examined in numerous studies (Fasakin et al 1999; Kalita et al 2007 and Abdel-Tawwab 2008). It was reported that an inclusion level up to 25% supported fish growth, when fish meal content ranged between 7.5 to 22% in the diet. More recently, Cruz et al (2011) evaluated the nutritional potential of sundried and fermented aquatic plants found in rural areas of Colombia. They recommended the used of fermented plant material as fermentation reduced the content of antinutrients and fibre.

Studies on evaluating aquatic macrophytes as feed ingredient for Nile Tilapia reported similar or even lower SGR than those reported in this study. El-Sayed (2003) reported SGR of 2.9 and 2.8 (%/day) for fish fed on diets (35% CP and 38% FM inclusion level) containing 20% of molasses-fermented and yeast-fermented water hyacinth (Eichornia crassipes), respectively. In our study with comparable CP, but lower FM inclusion (3% FM), a SGR of 2.8 and 2.9 (%/day) was achieved at 25% and 15% fermented macrophytes inclusion. Abdel-Tawwab (2008) reported a lowest SGR of 0.8 (%/day) for Nile Tilapia fed on diets supplemented with sundried Azolla pinnata at 25%. In his study diets contained 20% CP and 10% FM inclusion level. In other study, Nhi and Preston (2011) used a biodigester effluent as fertilizer for the natural food in ponds and for the production of duckweeds as supplement feed for fish. They reported a SGR of 2.67 and 2.39 for Nile Tilapia growing in an integrated culture with Common carp (Cyprinus carpio) at a density of 3 and 5 fish/ m2, respectively. In a later study, Nhi and Preston (2012), they reported a highest SGR of 3.35 for Nile Tilapia in monoculture by using natural feed from the effluent-fertilized ponds and duckweeds as supplement feed. The growth rate in this study was supported by the natural food chain in the ponds.

Although unconventional plant protein sources frequently limit fish growth performance (In the literature, many factors are enumerated to explain this effect: the reduced protein content, the unbalanced amino acid profile, the high fibre and ash content, and the presence of antinutritional substances). The study of Nhi and Preston (2012) showed that the use of unconventional feed resources, which are locally available can be better used into alternative systems of fish production based on recycle of organic wastes. So fish production would not depend on costly feed and economic profit would favour the farmers.

The tested aquatic macrophytes showed moderate protein contents (241 - 264 g/kg CP) compared to standard commercial plant ingredients. However, the amino acid profile of DW and WF seems to fulfil the requirements for lysine and methionine of common cultured tropical fish (Cruz et al 2011). To avoid adverse effects of antinutritional substances the tested aquatic macrophytes were fermented. As Cruz et al (2011) showed, trypsin inhibitor, phytates, soluble and condensed tannins, and oxalates were tremendously diminished.

Since fibre content in DW25 (134 g/kg) and WF25 (137 g/kg) diets was notably higher than in the control diet (68.2 g/kg) overall digestibility might have been reduced in comparison to the control diet. In the past, increased fibre content of diets containing plant ingredients have shown to negatively affect weight gain, growth response and protein utilization of Nile Tilapia (Omoregie and Ogbemudia 1993; Fagbenro et al 2004). Also, Anderson et al (1984) reported that a fibre level above 100 g/kg reduced feed efficiency and nutrient digestibility of Nile Tilapia causing poor fish growth. Here a high fibre content (over 13%) at 25% DW and WF revealed significantly reduced dry matter.

In fact, the significantly higher FCR (2.5) in WF25 diets when compared to FCR (1.8) in control diets can be attributed to the high dietary fibre and ash content of the WF25 diets. An even higher FCR (4.2) was reported by Abdel-Tawwab (2008) for Nile Tilapia fed on diets supplemented with sundried WF ( Azolla pinnata) at 25% inclusion level. In contrast, El-Sayed (2003) reported lower FCR (from 1.6 to 1.8) for fish fed on diets containing 20% of molasses-fermented and yeast-fermented water hyacinth, suggesting a better FCR of fermented ingredients. Tick and Preston (2012) reported a much better FCR from 0.76 to 1.08 for Nile Tilapia fed on duckweeds and growing in effluent-fertilized ponds with natural feed supply.

Increased dry matter, ash content as well as protein digestibility revealed that feed utilization in DW15. DW25 and WF15 was comparable to the control, but was substantially reduced in WF25. Interestingly, ADC of lipids was significantly lower in diets containing higher levels of both aquatic macrophytes and particularly in those containing WF. This could possibly be explained by the low lipid content (31.0 g/kg) of aquatic macrophytes which could have also affected growth and feed utilisation as a result of the reduction of available dietary energy and deficiency of essential fatty acids. Otherwise, lipid body composition of Nile Tilapia fed the test diets was not significantly affected by dietary treatments. This coincides with El-Sayed (2003) findings evaluating fermented water hyacinth for Nile Tilapia. Even so, the level of whole body ash was significantly higher in fish fed on WF25 diets compared to the control group, which may be attributed to the particularly high ash content in WF.

Differences between the ISI values were not found between the diets. However, the HSI was significantly lower in fish fed on DW25 and WF25. This could be attributed to the significantly lower deposits of fat in these groups directly affecting the size of the liver and could be furthermore explained by the lowest ADC of lipids found in the diets containing higher levels of macrophytes. Tusche et al (2011) also referred to this observation and reported it as a sign of the effects of short-term starvation on fish hepatocytes.

In conclusion, fermented DW and WF up to 15% can be utilised in low-fish meal diets to reduce feeding costs without an impact on growth performance, feed conversion and animal welfare.


Acknowledgements

The authors gratefully acknowledge the German Academic Exchange Services (DAAD) for the PhD scholarship award for Ms. Cruz as well as the Instituto Colombiano para el desarrollo de la ciencia y la tecnología (Colciencias) and the Universidad del Magdalena for the financial support. The authors would also like to thank Prof. Dr. Werner Kloas and Prof. Dr. Frank Kirschbaum for providing the laboratory facilities to conduct the histological analyses. This work was financially supported by Project Colciencias Cod. 1117-452-21305


References

Abdelhamid A M, Magouz F I, El-Mezaien M I B, El-S. Khlaf Allah M M and Ahmed E M O 2010 Effect of source and level of dietary water hyacinth on Nile tilapia (Oreochromis niloticus): performance. J. of Animal and Poultry Production. Mansoura University. 1 (4): 133 - 150. (Engormix.com. Aquaculture Technical Article. 13 p.).

Abdelhamid A M, Salem M F I and Khalaf Allah M M 2006 Substitution of soybean meal by water hyacinth hay in diets of Nile tilapia (Oreochromis niloticus). The 2nd Inter. Sci. Con. For Environment "Recent Environmental Problems and Social Sharement". 28-30 March. South Valley University. pp. 114 – 126. (Engormix.com. Aquaculture Technical Articles. 2007. 6 p.)

Abdel-Tawwab M 2008 The preference of the omnivorous–macrophagous. Tilapia zillii (Gervais). to consume a natural free-floating fern. Azolla pinnata. Journal of the World Aquaculture Society 39 (1): 104-112.

Al-Hussanini A H and Kohly A 1953 On the functional morphology of the alimentary tract of some omnivorous teleost fish. Proceedings of the Egyptian Academy of Sciences IX: 17-39.

Anderson J. Jackson A J. Matty A J and Capper B S 1984 Effects of dietary carbohydrate and fiber on the Tilapia Oreochromis niloticus (L.). Aquaculture 37. 303–314.

AOAC International 2005 Official methods of analysis of AOAC International. 18th edition. Gaithersburg. MD. USA.

Bairagi A, Sarkar Ghosh K, Sen S K and Ray A K 2002 Duckweed (Lemna polyrhiza) leaf meal as a source of feedstuff in formulated diets for rohu (Labeo rohita Ham.) fingerlings after fermentation with a fish intestinal bacterium. Bioresource Technology 85. 17-24.

Beveridge M C M and Baird D J 2000 Diet, feeding and digestive physiology. In: Tilapias:Biology and Explotation. pp. 59-87. M.C.M. Beveridge and B.J. Mc Andrew (eds). Kluwer Academic Publishers. Great Britain.

Caceci T, El-Habback H A, Smith S A and Smith B J 1997 The stomach of Oreochromis niloticus has three regions. Journal of Fish Biology 50(5):939-52.

Cruz Y, Kijora C, Wedler E, Danier J and Schulz C 2011 Fermentation properties and nutritional quality of selected aquatic macrophytes as alternative fish feed in rural areas of the Neotropics. Livestock Research for Rural Development. Volume 23. Article #239. http://www.lrrd.org/lrrd23/11/cruz23239.htm

El-Sayed A F M 1999 Alternative dietary protein sources for farmed Tilapia. Oreochromis spp. Aquaculture 179. 149– 169.

El-Sayed A F M 2003 Effects of fermentation methods on the nutritive value of water hyacinth for Nile Tilapia Oreochromis niloticus (L.) fingerlings. Aquaculture 218. 471–478.

Espinal C, Martínez H and Gónzalez F 2005 La cadena piscícola en Colombia: Una mirada global de su estructura y dinámica 1991-2005. MADR. Observatorio Agrocadenas de Colombia. Documento de Trabajo. 46 p.

Fagbenro O A, Akande T T, Fapohunda T T and Akegbejo-Samsons Y 2004 Comparative assessment of roselle (Hibiscus sabdariffa var. sabdariffa) seed meal and kenaf (Hibiscus sabdariffa var. altissima) seed meal as replacement for soybean meal in practical diets for fingerlings of Nile Tilapia. Oreochromis niloticus. Pages 277–288 in R. Bolivar. G. Mair. and K. Fitzsimmons. editors. The 6th International Symposium of Tilapia in Aquaculture. Manila. The Philippines; September 14–16. 2004.

FAO 2012 Fisheries and Aquaculture topics. FishStatJ - software for fishery statistical time series. Topics Fact Sheets. In: FAO Fisheries and Aquaculture Department [online]. Rome. http://www.fao.org/fishery/countrysector/naso_colombia/en

Fasakin E A, Balogun A M and Fasuru B E 1999 Use of duckweed. Spirodela polyrrhiza L. Schleiden as a protein feedstuff in practical diets for Tilapia. Oreochromis niloticus L. Aquaculture Research 30. 313–318.

Flores-Nava A 2007 Feeds and fertilizers for sustainable aquaculture development: a regional review for Latin America. In M.R. Hasan. T. Hecht. S.S. De Silva and A.G.J. Tacon (editors). Study and analysis of feeds and fertilizers for sustainable aquaculture development. FAO Fisheries Technical Paper. No. 497. Rome. FAO. pp. 49–75.

Francis G, Makkar H P S and Becker K 2001 Antinutritional factors present in plant-derived alternate fish feed ingredients and their effects in fish. Aquaculture. v. 199. p. 197-227.

Furukawa and Tsukahara 1966 On the acid digestion method for determination of chromic oxide as an index substance in the study of digestibility of fish feed. Bulletin of the Japanese Society of Fisheries Oceanography 32. 207–217.

Hasan M R, Hecht T, De Silva S S and Tacon A G J (eds) 2007 Study and analysis of feeds and fertilizers for sustainable aquaculture development. FAO Fisheries Technical Paper. No. 497. Rome. FAO. 510p.

Hasan M R and Chakrabarti R 2009 Use of algae and aquatic macrophytes as feed in small-scale aquaculture: a review. FAO Fisheries and Aquaculture Technical Paper. No. 531. Rome. FAO. 2009. 123p.

Johnson H E, Merry D R, Davies D R, Kell D B, Theodorou M K and Griffith G W 2005 Vacuum packing: a model system for laboratory-scale silage fermentations. Journal of Applied Microbiology 98. 106-113.

Kalita P, Mukhopadhyay P K, and Mukherjee A K 2007 Evaluation of the nutritional quality of four unexplored aquatic weeds from northeast India for the formulation of cost-effective fish feeds. Food Chemistry. v. 103. p. 204–209.

Leng R A, Stambolie J H, and Bell R 1995 Duckweed a potential high-protein feed resource for domestic animals and fish. Livestock Research for Rural Development. Volume 7. Art.1.

Lovell R T 1989 Nutrition and feeding of fish. Van Nostrand Reinhold. New York. NY. USA.

Mandal R N, Datta A K, Sarangi N and Mukhopadhyay P K 2010 Diversitiy of aquatic macrophytes as food and feed components to herbivorous fish- a review. Indian Jounal of Fisheries. 57 (3): 65-73.

Nhi N H Y and Preston T R 2011 The growth and economics of integrated culture of Tilapia (Oreochomis niloticus) and Common carp (Ciprinus carpio) in an indoor intensive system with earthworms as feed and in natural ponds fertilized with biodigester effluent and supplemented with duckweed. Livestock Research for Rural Development. Volume 23. Article #161. http://www.lrrd.org/lrrd23/7/nhi23161.htm

Nhi N H Y and Preston T R 2012 Growth of red tilapia (Oreochomis mossambicus) and black tilapia (Oreochomis niloticus) with common carp (Ciprinus carpio) in monoculture and polyculture by using natural feed in ponds fertilized with biodigester effluent. Livestock Research for Rural Development. Volume 24. Article #111. http://www.lrrd.org/lrrd24/7/nhi24111.htm

Nose T 1960 On the digestion of food protein by gold-fish (Carassius auratus L.) and rainbow trout (Salmo irideus G.). Bulletin Freshwater Research Laboratory 10. 11-22.

Omoregie E and Ogbemudia F I 1993 Effect of substituting fishmeal with palm kernel meal on growth and food utilization of the Nile Tilapia. Oreochromis niloticus. Israeli Journal of Aquaculture – Bamidgeh 45:113–119.

Osman A H K and Caceci T 1991 Histology of the stomach of the Tilapia nilotica (Linnaeus. 1758) from the River Nile. Journal of Fish Biology 38:211-223.

Stickney R R 1979 Principles of warmwater aquaculture. Wiley InterScience. New York. New York. USA.

Tacon A G J 1994 Feed ingredients for carnivorous fish species: alternatives to fishmeal and other dietary resources. FAO Fish. Circ. 881 35 pp.

Tick N and Preston T R 2012 Effect of biodigester effluent, duckweed and leaves from Taro (Colocacia esculenta) on growth of Tilapia (Oreochromis niloticus) in open ponds. Livestock Research for Rural Development. Volume 24. Article #25. http://www.lrrd.org/lrrd24/2/tick24025.htm

Tusche K, Wuertz S, Susenbeth A and Schulz C 2011 Feeding fish according to organic aquaculture guidelines EC 710/2009: Influence of potato protein concentrates containing various glycoalkaloid levels on health status and growth performance of rainbow trout (Oncorhynchus mykiss). Aquaculture 319: 122–13.

Watanabe W O, Losordo T M, Fitzsimmons K and Hanley F 2002 Tilapia Production Systems in the Americas: Technological Advances. Trends and Challenges. Reviews in Fisheries Science 10(3&4): 465–498


Received 20 August 2014; Accepted 20 June 2015; Published 1 September 2015

Go to top